Ngày 12.1, thông tin từ Bệnh viện Hữu nghị Việt Tiệp Hải Phòng, đơn vị vừa can thiệp, cấp cứu kịp thời bệnh nhân trẻ tuổi bị đột quỵ não.
Vừa qua, Bệnh viện Hữu nghị Việt Tiệp có tiếp nhận trường hợp người bệnh V.V.L (27 tuổi), sau tắm 10 phút ở nhà xuất hiện tình trạng thị lực giảm nhẹ, khuyết tầm nhìn mắt phải, kèm tê bì mặt và nửa người phải.
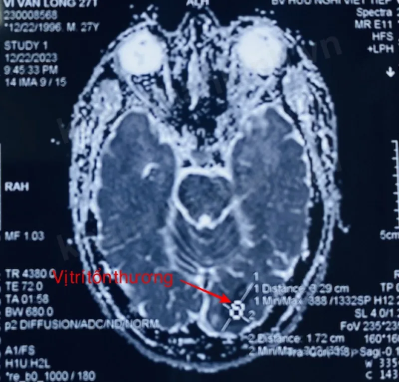
Người bệnh đã được nhập viện tại Bệnh viện Hữu nghị Việt Tiệp trong tình trạng thị lực mắt phải 8/10 (bán manh đồng danh), soi đáy mắt và mắt trái bình thường, kết quả chụp cộng hưởng từ sọ não cho thấy hình ảnh nhồi máu não mới thuỳ chẩm bên trái.
Các bác sĩ nhanh chóng sử dụng phương pháp điều trị thuốc tiêu sợi huyết cho người bệnh. Sau khi tiêm xong thuốc tiêu sợi huyết 1 giờ, tình trạng mắt của người bệnh đã cải thiện 70% biểu hiện bán manh. Sau 3 ngày điều trị, mắt của người bệnh đã phục hồi hoàn toàn.

Theo chia sẻ của TS.BS Phùng Đức Lâm, Trưởng Khoa Đột quỵ, Bệnh viện Hữu nghị Việt Tiệp, đột quỵ là một căn bệnh rất nguy hiểm, có thể gây tử vong hoặc tàn phế suốt đời. Trường hợp người bệnh V.V.L với tuổi đời còn rất trẻ cùng những triệu chứng bệnh lý không rõ ràng, rất may mắn người bệnh đã đến bệnh viện và được phát hiện, can thiệp kịp giờ, tránh được những biến chứng đáng tiếc do đột quỵ gây ra.
Nếu như trước đây, đột quỵ não thường gặp ở những người trên 60 tuổi thì hiện nay, căn bệnh này có xu hướng trẻ hóa. Các yếu tố làm gia tăng các ca đột quỵ và trẻ hóa như: tăng huyết áp, đái tháo đường, rối loạn mỡ máu,… nhưng không được kiểm soát. Bên cạnh đó, hút thuốc, stress nặng cũng là nguyên nhân gây đột quỵ.
Do đó, việc kiểm soát tốt các tình trạng này là rất quan trọng. Để phòng ngừa đột quỵ, bác sĩ khuyến cáo người bệnh nhận biết các triệu chứng khởi phát đột quỵ não như: méo miệng, nói ngọng, tê yếu tay chân, mất thăng bằng, nhìn mờ,… để khẩn trương đưa người bệnh tới bệnh viện điều trị đột quỵ não, kịp “giờ vàng” để cứu tính mạng.
Hoàng Khôi

